
Comece o tratamento com um diagnóstico preciso
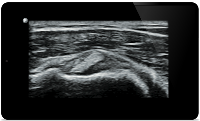
O Lumify ajuda você a ver os detalhes finos em músculos, articulações, ligamentos, tendões e cartilagem para fazer um diagnóstico mais preciso de lesões.

Responda rapidamente com imagens de corpo inteiro
O Lumify pode ajudar a avaliar pacientes da cabeça aos pés, seja fascite plantar, tendinite ou bursite no tendão patelar, ou mesmo instabilidade do ombro no manguito rotador.

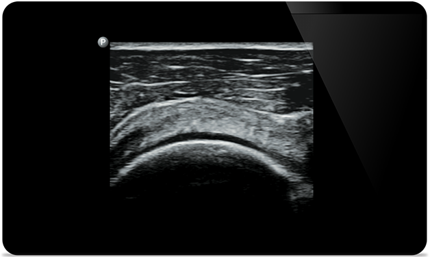
Obtenha a clareza de sistemas de ultrassom maiores com o Lumify
A SonoCT reforça o diagnóstico por imagem real do tecido enquanto elimina artefatos aleatórios. Essa tecnologia produz diagnóstico por imagem superior aos convencionais em até 94% dos pacientes.


, Charles Sturt University













• Faixa de frequência de 2 a 5 MHz • Raio de curvatura 50 mm• 2D, Doppler colorido e pulsado*, modo M, XRES avançado e imagem harmônica, SonoCT • Diagnóstico por imagem de alta resolução para aplicações mais profundas: otimizações pré-configuradas para diagnóstico por imagem abdominal, de vesícula, de ginecologia/obstetrícia e de pulmão • Disponivel em Android



Vídeo
Artrocentese do joelho
guiada por ultrassom

Estudo de caso
Ruptura do tendão supraespinhal

Guia rápido
Artrocentese de quadril guiada por ultrassom
You are about to visit a Philips global content page
Continue