
Diminuir complicações de inserções de CVC
A orientação por ultrassom em tempo real pode melhorar a precisão e a segurança das inserções de CVC.

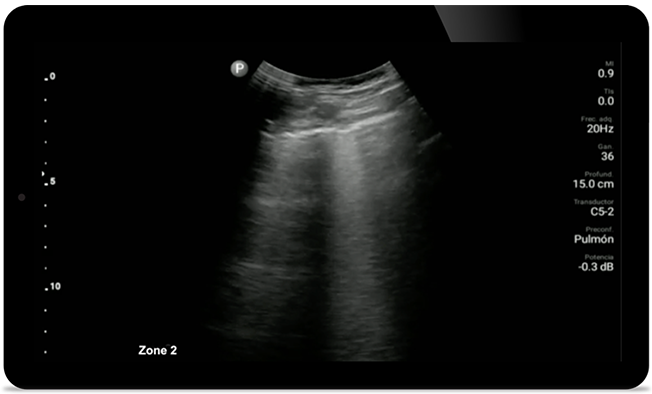
Fique de olho na pneumonia COVID
O Lumify pode ajudar a dar resultados semelhantes a uma TC de tórax ao avaliar pneumonia e síndrome do desconforto respiratório em adultos.

Aja mais rápido para protegero coração do seu paciente
Quando os segundos contam, o ultrassom portátil pode fazer a diferença. O Lumify pode fornecer as imagens de alta definição de que você precisa quando e onde precisar.
















• MHzFaixa de frequência operacional de 1 a 4 MHz • Tamanho da abertura: 34mm • 2D, Doppler colorido e pulsado*, modo M, XRES avançado e diagnóstico com imagem harmônica, SonoCT • Diagnóstico por imagem de alta resolução para aplicações superficiais: tecidos moles, vasculares, superficiais, musculoesqueléticos e pulmonares • Marcador de linha central • Transdutor USB-C com cabo substituível • Disponivel em Android



Estudo de caso
Oportunidade de possivelmente reverter a cardiomiopatia

Tutorial
Introdução à ecocardiografia transtorácica

Guia rápido
Ultrassonografia renal focada
You are about to visit a Philips global content page
Continue