Reduzir complicações em procedimentos guiados por agulha
O ultrassom portátil Lumify para anestesiologia ajuda você a visualizar claramente a definição da borda na inserção da agulha, bem como nervos circundantes, vasos e planos fasciais.

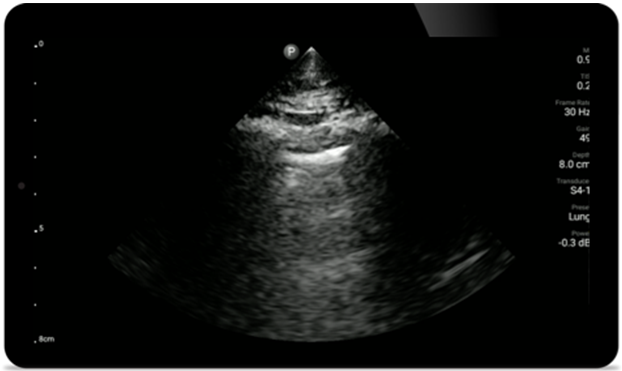
Utilizar o Lumify para avaliação pulmonar e das vias aéreas
As soluções do Lumify para POC podem ajudar você a detectar o tubo endotraqueal na traqueia, auxiliar em procedimentos de cricotireotomia, diagnosticar derrame pleural e doenças alveolares intersticiais.

Leve o ultrassom para à beira do leito
Usar o Lumify à beira do leito de seus pacientes pode ser uma ferramenta valiosa para determinar o status do conteúdo do estômago e pode diminuir o risco de aspiração pulmonar. Em conjunto, isso pode reduzir o risco de complicações da anestesia.

















• Faixa de frequência operacional de 1 a 4 MHz • 2D, Doppler colorido, modo M, XRES avançado e imagem harmônica • Diagnóstico por imagem de alta resolução para aplicações abdominais e cardíacas: otimizações predefinidas de diagnóstico por imagem cardíaco, obstetrico/ginecológico, pulmonar, abdominal e FAST • Novidade para Android: Doppler Pulsado


Desde revelar os detalhes sutis de uma imagem de vários ângulos, o Lumify pode ajudar você a tomar decisões em tempo real com mais confiança, desde a avaliação até a recuperação.

Estudo de caso
Um paciente com dispneia

Tutorial
Ultrassom cardíaco pré-hospitalar: embolia pulmonar

Breve palestra
Noções básicas de ultrassom pulmonar
You are about to visit a Philips global content page
Continue