Fique preparado para enfrentar novos desafios no tratamento de AVCs isquêmicos Estamos testemunhando um forte aumento das intervenções por trombectomia como um tratamento de primeira linha para os pacientes1 com AVC isquêmico. Está também ocorrendo uma migração do modo de seleção de pacientes baseada em tempo para a seleção baseada em
imagens nessa área. Nosso pacote Neurovascular, desenvolvido para ajudar a incorporar essas tendências, pode oferecer altos níveis de eficiência em procedimentos e reformular os desfechos para seus pacientes com AVC.



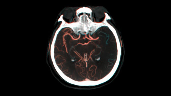
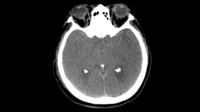
O SmartCT para Tecidos Moles gera uma visualização de tecidos moles semelhante à de uma tomografia computadorizada e facilita de três maneiras o diagnóstico de AVC: uma varredura sem contraste ajuda a detectar as primeiras alterações isquêmicas; uma varredura de fase inicial ajuda a identificar a oclusão proximal; e uma varredura aprimorada de fase avançada com contraste facilita a detecção dos fluxos sanguíneos colaterais.

O recurso SmartCT Vaso permite a visualização além do coágulo com o diagnóstico por imagem periprocessual dos aspectos do vaso distal no AVC isquêmico. O SmartCT Vaso é uma técnica de aquisição baseada na Tomografia Computadorizada de Feixe Cônico e em uma injeção de contraste intra-arterial que permite a visualização além do coágulo com o diagnóstico por imagem periprocessual dos aspectos do vaso distal no AVC isquêmico. Por meio do preenchimento retrógrado, as estruturas dos vasos antes e depois do coágulo tornam-se visíveis. O Roteiro 3D do SmartCT Vaso pode ser usado para visualizar os dispositivos de recuperação de coágulos.

O recurso Dual View, para visualização lado a lado dos volumes anteriores e posteriores da Tomografia Computadorizada de Feixe Cônico, aprimora a identificação do efeito penumbra e permite a visualização do preenchimento colateral.

Use as imagens do SmartCT para Tecidos Moles (semelhantes a TC) do pacote Neurovascular para verificar o sucesso do tratamento e sangramentos.

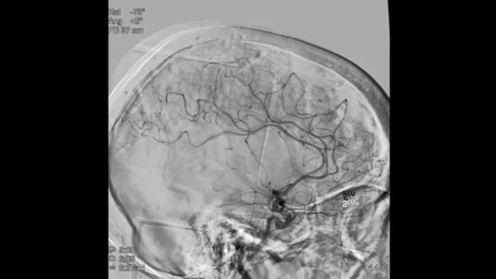
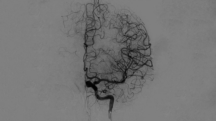
O ClarityIQ aplica uma Compensação Automática de Movimento durante a ASD em tempo real para manter imagens nítidas dos vasos, facilitando uma tomada de decisão confiante ao longo dos procedimentos de AVC.

O Roteiro SmartCT fornece referências anatômicas para facilitar a navegação precisa do fio guia, do cateter e do dispositivo até o coágulo.

As visualizações de ASD de alta qualidade permitem avaliar se você recuperou o coágulo inteiro e se pedaços do coágulo foram dispersados distalmente no cérebro. Você pode confirmar a restauração do fluxo sanguíneo para a penumbra e verificar se há sangramentos periprocedimento.

Tome decisões bem-fundamentadas quanto a se o coágulo pode ser alcançado e qual rota utilizar. O Roadmap Pro, um roteiro avançado de duplo contraste, ajuda a aprimorar a visualização de vasos superpostos e, ao mesmo tempo, equilibra a exposição à radiação.
O Azurion oferece uma série de inovações de fluxo de trabalho projetadas para ajudar sua equipe de plantão a trabalhar com facilidade e eficiência, mantendo um foco único no paciente e gerenciando a dose de radiação durante intervenções em casos de AVC agudo.


O FlexVision Pro proporciona acesso direto e controle total das varreduras de diagnóstico pré-operatórias, de informações do paciente e das ferramentas de planejamento ao lado da mesa, para poupar tempo e entradas e saídas desnecessárias da área estéril. O Módulo Pro de tela sensível ao toque permite o controle de imagens e aplicativos ao lado da mesa com a facilidade de um tablet.
Trabalhe em conjunto, instantaneamente

O Trabalho Paralelo Instantâneo permite que os membros da equipe trabalhem em tarefas diferentes ao mesmo tempo sem interromper uns aos outros para encurtar a duração de procedimentos em pacientes críticos de AVC.

Podem ser usados para conter pacientes inquietos sob sedação consciente para ajudar a reduzir os artefatos de movimento durante o procedimento.
Mesa de sala de cirurgia integrada para atendimento de casos agudos

A mesa de sala de cirurgia Magnus da Getinge pode ser usada para atendimento de emergência e de trauma. É sincronizada com os sistemas de raios X da Philips para tirar proveito das soluções avançadas da Philips.

Os sistemas de angiografia monoplano estão sendo cada vez mais usados como sistemas dedicados a AVCs ou como sistemas de reserva nos departamentos de neurologia intervencionista, juntamente com um sistema biplano. O Azurion 7 M20 é compatível com todas as ferramentas neurológicas intervencionistas avançadas.
Quando se trata de um AVC agudo, todos merecem o melhor atendimento possível. Hoje, mais pacientes podem se beneficiar da trombectomia mecânica por meio de diretrizes alteradas, que ampliam a janela de tempo para o tratamento endovascular.

Veja com clareza e navegue com eficiência ao tratar aneurismas cerebrais. Soluções clínicas para o tratamento de aneurismas cerebrais. Inovações no fluxo de trabalho para tratar aneurismas cerebrais com eficiência.
Saiba maisAs sofisticadas soluções de diagnóstico por imagem neurovascular da Philips favorecem o planejamento, o monitoramento médico e decisões de tratamento confiantes para intervenções em MAVs.
Saiba mais Isenção de responsabilidade A disponibilidade do produto está sujeita à liberação regulatória do país. Entre em contato com seu representante de vendas local para verificar a disponibilidade no seu país. Referências 2 Em um estudo de simulação com mais de 60 usuários globalmente, resultados obtidos durante testes de usuários realizados no período entre novembro de 2015 e fevereiro de 2016. Os testes foram projetados e supervisionados pela Use-Lab GmbH, uma empresa independente de consultoria de engenharia de testes de usabilidade objetiva e projetos de interface de usuário. Os testes envolveram 31 médicos sediados nos EUA (16 médicos e 15 técnicos) e 30 médicos sediados na Europa (15 médicos e 15 tecnólogos), que realizaram procedimentos usando o Azurion em um ambiente simulado de laboratório intervencionista. Os resultados de estudos de caso não são preditivos de resultados em outros casos. Os resultados em outros casos podem variar. 3 O nível necessário de experiência de usuário está descrito nas Instruções de Uso como o Perfil do Operador Pretendido. 4 As reconstruções 3D em configurações de resolução mais alta podem levar mais tempo.
You are about to visit a Philips global content page
Continue