As intervenções minimamente invasivas das estruturas do coração estão mudando o panorama terapêutico. As demandas do transcateter valvar e outros procedimentos das estruturas do coração requerem um cenário à prova de futuro e totalmente integrado que forneça as imagens certas e as informações certas no momento certo. Nosso portfólio de SHD foi projetado para permitir que as equipes cardíacas ampliem seu programa e impulsionem as próximas inovações de transcateter por meio da flexibilidade do fluxo de trabalho e da integração multimodal do diagnóstico por imagem aprimorando a comunicação, permitindo a eficiência e proporcionando confiança na orientação anatômica, na navegação do dispositivo e na colocação precisa do dispositivo.

O pacote de SHD do Azurion foi projetado para se adaptar às suas necessidades de fluxo de trabalho, permitindo que o sistema funcione de forma integrada ao seu redor para que você possa se concentrar no seu paciente.
O uso dos ProcedureCards, controlando a sala na palma da sua mão com flexibilidade ilimitada e gerando uma fusão ao vivo de dados críticos de diagnóstico por imagem em tempo real, aprimora a eficiência do laboratório e aumenta a confiança em cada etapa do tratamento.
No centro do nosso pacote temos a exclusiva solução EchoNavigator, um exemplo emblemático do compromisso da Philips com a multimodalidade e a integração do fluxo de trabalho que aproveita o melhor dos dois mundos com as soluções intervencionistas de raios X e ultrassom líderes do setor.
A jornada de TAVI de um paciente com o IntelliSpace Cardiovascular
Depoimento de um cliente do Centro Médico da Universidade de Hackensack
Não teríamos sido capazes de desenvolver alguns desses procedimentos se não soubéssemos que podíamos contar com recursos de diagnóstico por imagem de última geração."
Dr. Adam Greenbaum
MD, FACC, codiretor do Centro de Doenças Cardíacas Estruturais do Hospital Henry Ford, Detroit, Michigan, EUA
O sistema se move ao nosso redor, em vez de precisarmos movimentar o sistema."
Dr. Carlos E. Ruiz
M.D., Ph.D., FACC, FESC, diretor de MSCAI do Centro de Cardiopatia Congênita e Doença Cardíaca Estrutural, do Centro Médico da Universidade de Hackensack e do Hospital Infantil Joseph M. Sanzari e professor de Cardiologia Pediátrica e Medicina

Sobreposição do TEE 3D ao vivo de uma implantação de oclusão do AAE com o EchoNavigator

Segmentação do modelo 3D do EchoNavigator

Dimensionamento da TAVR totalmente automatizado com o HeartNavigator

Visualização da regurgitação pós-implante do reparo mitral

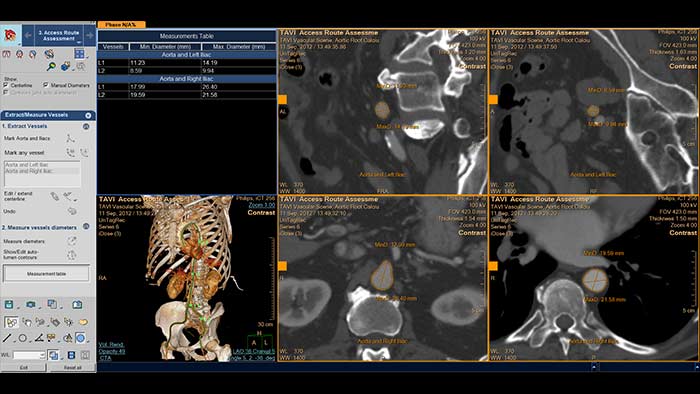
Avaliação automatizada da rota de acesso com o IntelliSpace Cardiovascular

TrueVue de renderização Zoom 3D para AAE com visualização MultiVue

Orientação de punção transeptal usando o EchoNavigator

Otimização de visualização da válvula mitral com os modelos de coração do EchoNavigator
Otimização de visualização da válvula tricúspide com modelos de coração do EchoNavigator

Visualização de válvulas mitral e aórtica com modelos de coração do EchoNavigator
Explore os diversos procedimentos de terapia guiada por imagem para doenças cardíacas estruturais
Soluções para procedimentos de TAVR e TAVI (substituição de válvula aórtica transcateter), oferecidos pela terapia guiada por imagem da Philips.
Saiba maisSoluções para intervenções da válvula mitral oferecidas pela terapia guiada por imagem da Philips. Produtos em destaque para procedimento transcateter da válvula mitral e tricúspide.
Saiba maisSoluções para procedimentos OAAE oferecidas pela terapia guiada por imagem da Philips. Conheça nossas soluções clínicas para o tratamento de doenças cardíacas estruturais.
Saiba maisPreencha o formulário e entraremos em contato com você.
You are about to visit a Philips global content page
Continue