A visualização de dispositivos novos menos opacos representa um novo desafio durante o planejamento do tratamento e a colocação do dispositivo, podendo aumentar a duração do seu procedimento. Isso torna os diagnósticos por imagem 2D e 3D de excelente qualidade mais importantes do que nunca para orientar as decisões de tratamento e a colocação do dispositivo, além de gerenciar com eficiência a dose de radiação.


O Roteiro de RM-TC oferece a possibilidade de sobrepor uma varredura do SmartCT Angio ou de RM por angiografia adquirida anteriormente com fluoroscopia ao vivo para visualizar os limites da lesão e a vascularização correspondente para avaliação de risco. A reutilização de dados pré-adquiridos ajuda a gerenciar a dose de raios X e o meio de contraste.

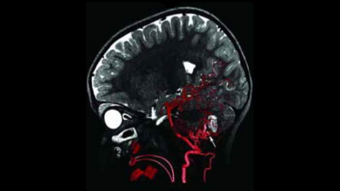
Aprimore a visualização de stents endovasculares, desviadores de fluxo e outros dispositivos e também a morfologia do vaso até o nível perfurador com o SmartCT Vaso. Essa técnica de aquisição, baseada em uma varredura de TC de Feixe Cônico e uma injeção de contraste intra-arterial, é cada vez mais utilizada para o acompanhamento de aneurismas tratados com stents desviadores de fluxo para verificar o posicionamento do dispositivo.

O Roteiro do SmartCT aprimora a visualização de vasos sobrepostos para facilitar a navegação precisa do fio guia e do cateter ao longo de uma vasculatura complexa. Oferece precisão de alto nível com compensação em tempo real para movimentos do gantry e da mesa e pequenos movimentos do paciente.

O recurso AneurismFlow ajuda a visualizar e quantificar os padrões de fluxo sanguíneo no vaso principal e no saco aneurismático para obter informações importantes que possam auxiliar a implantação de desviadores de fluxo e outros dispositivos de embolização.

O Roadmap Pro é um roteiro avançado de duplo contraste que ajuda a aprimorar a visibilidade de vasos superpostos e, ao mesmo tempo, equilibrar a exposição à radiação. O recurso pode ser personalizado para mostrar o avanço durante a colocação da bobina.

O SmartCT Angio fornece uma visão volumétrica em poucos segundos1 para auxiliar na avaliação da localização, tamanho e colo aneurismático para fins de planejamento do tratamento. Os volumes 3D são visualizados com alta resolução espacial e compensação automática do movimento do paciente.

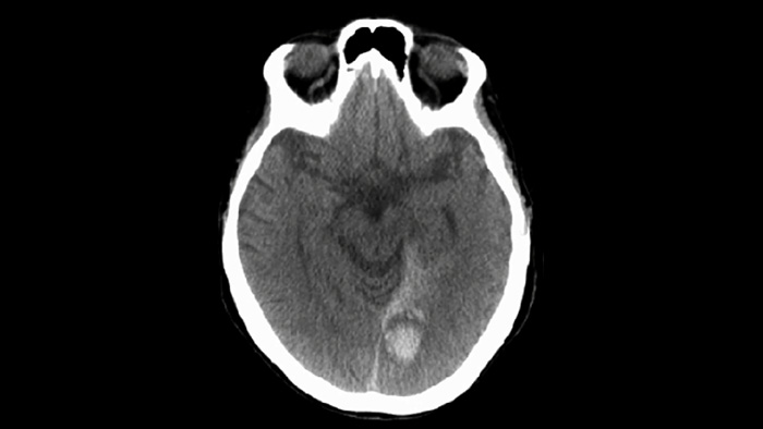
Use o diagnóstico por imagem com SmartCT de Tecidos Moles no pacote Neurovascular para verificar o sucesso do tratamento e identificar sangramentos.
O Azurion oferece uma série de inovações de fluxo de trabalho projetadas para ajudar sua equipe a trabalhar com facilidade e eficiência e, ao mesmo tempo, manter um foco único no paciente e gerenciar a dose de radiação.


A tecnologia ClarityIQ reduz em 75% a dose do paciente para ASD neuro2 e, ao mesmo tempo. mantém uma qualidade de imagem equivalente se comparada a um sistema sem ClarityIQ. Sua compensação automática de movimento remove os artefatos de crânio e de movimento, o que é fundamental quando se trata de colocar pequenos dispositivos na base do crânio.

O Posicionamento Zero Dose o ajuda a reduzir a dose permitindo que você gire a mesa, altere a altura da mesa ou movimente o sistema de raios X com o recurso Retenção da Última Imagem para determinar a nova posição de centralização. Isso o ajuda a preparar sua próxima varredura sem o uso de fluoroscopia.

Proporciona acesso direto e controle total das varreduras de diagnóstico pré-operatórias, de informações do paciente e das ferramentas de planejamento ao lado da mesa, para poupar tempo e entradas e saídas desnecessárias da área estéril.

Os ProcedureCards3 simplificam e padronizam a configuração do sistema e ajudam a reduzir os erros de preparação. Selecione o ProcedureCard de Aneurisma e o sistema será configurado da forma que você quiser.

Podem ser usados para conter pacientes inquietos sob sedação consciente para ajudar a reduzir os artefatos de movimento durante o procedimento.
Fique preparado para enfrentar novos desafios no tratamento de Acidente Vascular Cerebral Isquêmico (AVCs isquêmicos). Soluções clínicas para o tratamento de AVCs isquêmicos.
Saiba maisAs sofisticadas soluções de diagnóstico por imagem neurovascular da Philips favorecem o planejamento, o monitoramento médico e decisões de tratamento confiantes para intervenções em MAVs.
Saiba mais Isenção de responsabilidade A disponibilidade do produto está sujeita à liberação regulatória do país. Entre em contato com seu representante de vendas local para verificar a disponibilidade no seu país. Referências 1 As reconstruções 3D em configurações de resolução mais alta podem levar mais tempo 2 Söderman M., Holmin S., Andersson T., Palmgren C., Babic D., Hoornaert B. Image noise reduction algorithm for digital subtraction angiography: clinical results. Radiology. 2013 Nov;269(2):553-60. Os resultados da aplicação de técnicas de redução de dose irão variar dependendo da tarefa clínica, do tamanho do paciente, do local anatômico e da prática clínica. O radiologista intervencionista assistido por um físico conforme necessário precisa determinar as configurações adequadas para cada tarefa clínica específica. Resultados baseados na área de dose do produto por fotograma de ASD de um estudo prospectivo randomizado de centro único com 20 pacientes. As imagens de ASD do Allura Xper com ClarityIQ e do Allura Xper sem ClarityIQ foram adquiridas no canal frontal e lateral do mesmo paciente nas mesmas condições de geometria, campo de visão e protocolo de injeção. A qualidade da imagem foi baseada na avaliação subjetiva (escore 1-5, 1 = muito ruim, 5 = excelente, revisão cega por 3 radiologistas envolvidos no estudo). 3 Em um estudo de simulação com mais de 60 usuários globalmente, resultados obtidos durante testes de usuários realizados no período entre novembro de 2015 e fevereiro de 2016. Os testes foram projetados e supervisionados pela Use-Lab GmbH, uma empresa independente de consultoria de engenharia de testes de usabilidade objetiva e projetos de interface de usuário. Os testes envolveram 31 médicos sediados nos EUA (16 médicos e 15 técnicos) e 30 médicos sediados na Europa (15 médicos e 15 tecnólogos), que realizaram procedimentos usando o Azurion em um ambiente simulado de laboratório intervencionista.
You are about to visit a Philips global content page
Continue