Sua capacidade de visualizar patologias de malformações arteriovenosas (MAVs) extremamente complexas, fístulas e outras malformações é crucial para decidir se é preciso tratar ou monitorar um paciente. Há dezenas de anos os especialistas em neurologia vêm depositando sua confiado nas sofisticadas soluções de diagnóstico por imagem neurológica da Philips para facilitar decisões de planejamento e tratamento confiantes de intervenções em MAVs. Agora, na medida em que o campo está migrando para o monitoramento médico de MAVs sem ruptura, as ferramentas que oferecemos podem novamente lhe oferecer o apoio necessário para fazer a diferença na vida de seus pacientes.

O SmartCT Angio fornece uma visão volumétrica em poucos segundos2 para auxiliar na avaliação das artérias alimentadoras, veias drenadoras, veias arterializadas, nidus e patologia rompida ou não rompida para orientar a tomada de decisões. Os volumes 3D são visualizados com alta resolução espacial e compensação automática do movimento do paciente para aumentar a visibilidade dos detalhes críticos.

A capacidade de visualizar anatomias vasculares submilimétricas aumenta as chances de sucesso do tratamento e a confiança no tratamento. O SmartCT Vaso fornece imagens 3D de alta resolução que revelam informações importantes sobre estruturas vasculares cerebrais para favorecer a maior avaliação espacial possível dos vasos no contexto de tecidos moles.

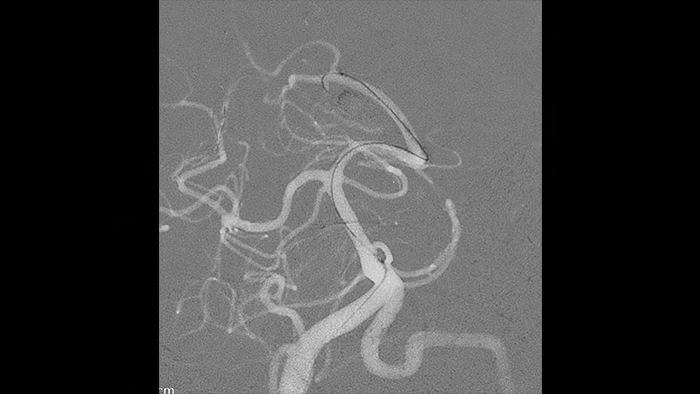
O Roteiro SmartCT fornece uma sobreposição de imagem 3D ao vivo que pode ser segmentada para enfatizar o vaso e as lesões alvo, facilitando uma navegação rápida do cateter. O Roteiro SmartCT sobrepõe uma reconstrução 3D da árvore de vasos, segmentos de vasos ou anotações de imagens com flúor ao vivo.

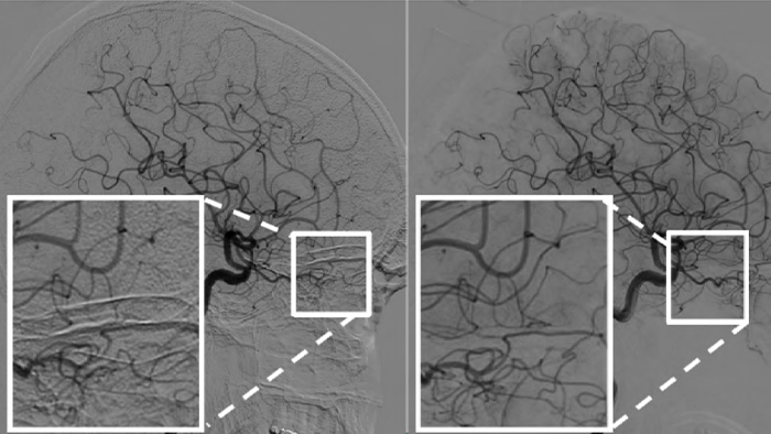
À medida que você monitora MAVs ao longo do tempo, os artefatos de subtração podem disfarçar informações clínicas. O ClarityIQ, exclusivo recurso de troca de pixels automática da Philips, ajuda a remover informações que podem ser enganosas em tempo real e sem interação do usuário.

Durante o tratamento, os artefatos de subtração podem obscurecer a direção em que os agentes embólicos líquidos estão se deslocando. O uso da troca de pixels automática no nosso ClarityIQ permite que você visualize a direção em que o agente embólico líquido está se deslocando e sua chegada.

O filtro do modo de cola do Roadmap Pro exclui os vasos já embolizados, permitindo que você se concentre no que você está injetando e como está se difundindo.

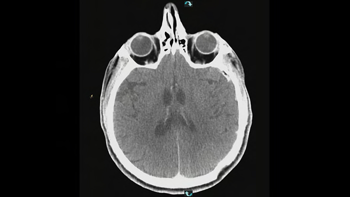
O SmartCT para Tecidos Moles é uma técnica de aquisição que gera uma visualização semelhante a uma tomografia computadorizada de tecidos moles em relação a outras estruturas durante os procedimentos. Você pode usar as imagens semelhantes a TC para avaliar o tecido mole após um MAV para verificar o resultado final e possíveis sangramentos enquanto o paciente ainda estiver na mesa.
O Azurion oferece uma série de inovações de fluxo de trabalho projetadas para ajudar sua equipe a trabalhar com facilidade e eficiência, mantendo um foco único no paciente e gerenciando a dose de radiação durante as intervenções em MAVs.


A tecnologia ClarityIQ reduz em 75% a dose do paciente para ASD neuro3 e, ao mesmo tempo. mantém uma qualidade de imagem equivalente se comparada a um sistema sem ClarityIQ. Sua compensação automática de movimento remove os artefatos de crânio e de movimento, o que é fundamental quando se trata de colocar pequenos dispositivos na base do crânio.

O Posicionamento Zero Dose o ajuda a reduzir a dose permitindo que você gire a mesa, altere a altura da mesa ou movimente o sistema de raios X com o recurso Retenção da Última Imagem para determinar a nova posição de centralização. Isso o ajuda a preparar sua próxima varredura sem o uso de fluoroscopia.

Proporciona acesso direto e controle total das varreduras de diagnóstico pré-operatórias, de informações do paciente e das ferramentas de planejamento ao lado da mesa, para poupar tempo e entradas e saídas desnecessárias da área estéril.

Os ProcedureCards simplificam e padronizam a configuração do sistema e ajudam a reduzir os erros de preparação. Selecione o ProcedureCard de MAV e o sistema será configurado da maneira que você quiser. Protocolos e/ou listas de verificação de aneurisma específicos de um hospital podem ser adicionados aos ProcedureCards e exibidos nos monitores. Um hospital reduziu seu tempo de preparação em laboratório cm a ajuda de ProcedureCards.4

Podem ser usados para conter pacientes inquietos sob sedação consciente para ajudar a reduzir os artefatos de movimento durante o procedimento.
Fique preparado para enfrentar novos desafios no tratamento de Acidente Vascular Cerebral Isquêmico (AVCs isquêmicos). Soluções clínicas para o tratamento de AVCs isquêmicos.
Saiba maisVeja com clareza e navegue com eficiência ao tratar aneurismas cerebrais. Soluções clínicas para o tratamento de aneurismas cerebrais. Inovações no fluxo de trabalho para tratar aneurismas cerebrais com eficiência.
Saiba mais Isenção de responsabilidade A disponibilidade do produto está sujeita à liberação regulatória do país. Entre em contato com seu representante de vendas local para verificar a disponibilidade no seu país. Referências 1 O nível necessário de experiência de usuário está descrito nas Instruções de Uso como o Perfil do Operador Pretendido. 2 As reconstruções 3D em configurações de resolução mais alta podem levar mais tempo. 3 Söderman M., Holmin S., Andersson T., Palmgren C., Babic D., Hoornaert B. Image noise reduction algorithm for digital subtraction angiography: clinical results. Radiology. 2013 Nov;269(2):553-60. Os resultados da aplicação de técnicas de redução de dose irão variar dependendo da tarefa clínica, do tamanho do paciente, do local anatômico e da prática clínica. O radiologista intervencionista assistido por um físico conforme necessário precisa determinar as configurações adequadas para cada tarefa clínica específica. Resultados baseados na área de dose do produto por fotograma de ASD de um estudo prospectivo randomizado de centro único com 20 pacientes. As imagens de ASD do Allura Xper com ClarityIQ e do Allura Xper sem ClarityIQ foram adquiridas no canal frontal e lateral do mesmo paciente nas mesmas condições de geometria, campo de visão e protocolo de injeção. A qualidade da imagem foi baseada na avaliação subjetiva (escore 1-5, 1 = muito ruim, 5 = excelente, revisão cega por 3 radiologistas envolvidos no estudo). 4 Em um estudo de simulação com mais de 60 usuários globalmente, resultados obtidos durante testes de usuários realizados no período entre novembro de 2015 e fevereiro de 2016. Os testes foram projetados e supervisionados pela Use-Lab GmbH, uma empresa independente de consultoria de engenharia de testes de usabilidade objetiva e projetos de interface de usuário. Os testes envolveram 31 médicos sediados nos EUA (16 médicos e 15 técnicos) e 30 médicos sediados na Europa (15 médicos e 15 tecnólogos), que realizaram procedimentos usando o Azurion em um ambiente simulado de laboratório intervencionista.
You are about to visit a Philips global content page
Continue