
As soluções de Sala Cirúrgica Híbrida fornecem um ambiente inovador para os tratamentos cirúrgicos que oferece excepcional flexibilidade de processamentos e facilidade de uso e, ao mesmo tempo, cumpre os mais altos padrões de higiene e controle de infecções cirúrgicas. O sistema montado no teto fornece flexibilidade de diagnóstico por imagem ilimitada para diversos procedimentos e excepcional liberdade de posicionamento para as equipes médicas. Tudo isso vêm em uma configuração compacta, fornecendo um ambiente altamente econômico pronto para os procedimentos do futuro. Ao funcionar ao seu redor, o Azurion com FlexArm da Philips ajuda você a otimizar o desempenho do seu pacote e fornecer um atendimento de qualidade superior.

Nossos cateteres de diagnóstico por imagem periférico ajudam a avaliar o local da doença e a morfologia da lesão, incluindo cálcio e trombo. O IVUS também pode ser usado para dimensionar stents adequadamente e confirmar a completude do tratamento.

Nossos dispositivos de aterectomia periférica são excelentes ferramentas para remover bloqueios da corrente sanguínea. Nossos produtos sem laser funcionam como dispositivos autônomos que não precisam ser emparelhados com outros sistemas.

O portfólio adaptável de tecnologias e produtos vasculares periféricos da Philips ajuda a permitir que os médicos avaliem com rapidez e precisão os pacientes portadores de doença vascular periférica e preparem os vasos para a prestação precisa do tratamento ideal.

Imagens de vasos de alta definição com detalhes vasculares de qualidade superior, como apoio a estratégias precisas de tratamento, navegação e acompanhamento.
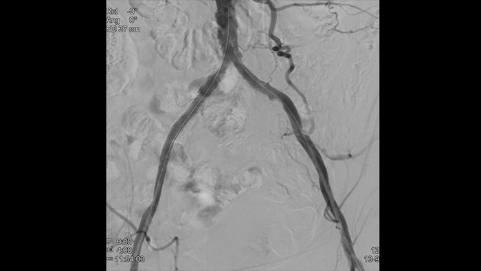
Soluções para procedimentos aórticos. Nosso pacote Vascular fornece opções de fluxo de trabalho, ferramentas intervencionistas dedicadas e uma seleção de dispositivos avançados para aumentar a eficiência dos procedimentos para pacientes portadores de doença aórtica.
Saiba maisPlataforma de aplicações intervencionistas e soluções para procedimentos venosos oferecidos pela terapia guiada por imagem da Philips. Sistemas de diagnóstico por imagem por IVUS digital fáceis de usar.
Saiba mais Isenção de responsabilidade A disponibilidade do produto está sujeita à liberação regulatória do país. Entre em contato com seu representante de vendas local para verificar a disponibilidade no seu país. Referências 1 Jens S., Marquering H. A., Koelemay M. J., Reekers J. A. Perfusion angiography of the foot in patients with critical limb ischemia: description of the technique. Cardiovasc Intervent Radiol. Fev 2015; 38(1):201-5. doi: 10.1007/s00270-014-1036-5. 2 Os resultados são específicos para a instituição em que foram obtidos e podem não refletir resultados alcançáveis em outras instituições. Os resultados de estudos de caso não são preditivos de resultados em outros casos. Os resultados em outros casos podem variar.
You are about to visit a Philips global content page
Continue