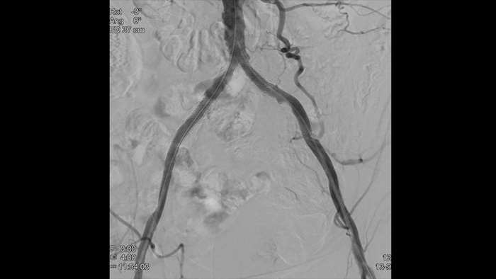
Nosso pacote Vascular fornece opções de fluxo de trabalho, ferramentas intervencionistas dedicadas e uma ampla seleção de dispositivos vasculares avançados para aumentar a eficiência dos procedimentos e redefinir os desfechos para seus pacientes portadores de doença aórtica, facilitando todas as etapas do seu procedimento — à medida que você decide, orienta, trata e confirma os resultados do tratamento.

Uma visualização realista da vasculatura arterial é necessária para acessar o sistema arterial com eficácia. Nosso sistema de ultrassom integrado CX50 fornece imagens de qualidade premium da artéria radial e das veias para facilitar intervenções de acesso radial.
Após um mês de uso, passamos do ponto em que o valor clínico do VesselNavigator supera o investimento que fizemos.”
Prof. Dr. F. Vermassen
Hospital Universitário de Ghent
Essa é apenas uma das muitas melhorias do desempenho no laboratório alcançadas pelo Departamento Vascular Intervencionista do Hospital St. Antonius após a instalação do sistema Azurion. O primeiro estudo do desempenho do Azurion no laboratório obteve resultados impressionantes, que foram verificados por um terceiro independente.*


Com o Azurion da Philips, ocorreu uma revolução em termos de aprimoramento do fluxo de trabalho que resultou em uma eficiência comprovada. Com o número sempre crescente de pacientes com doença aórtica, o Azurion oferece uma série de inovações no fluxo de trabalho projetadas para ajudar as equipes vasculares a trabalhar de forma eficiente e consistente e, ao mesmo tempo, manter um foco único no paciente e gerenciar a dose de radiação durante as intervenções.

O ultrassom intravascular (IVUS) é uma tecnologia de diagnóstico por imagem baseada em cateter que permite que os médicos visualizem vasos sanguíneos de dentro para fora para ajudar na avaliação da presença e extensão de doenças. O IVUS ajuda a decidir, orientar e confirmar o tratamento intervencionista certo para cada paciente.

Visualiza imagens de vasos de alta definição com detalhes vasculares excepcionais, como apoio a estratégias precisas de tratamento, navegação e acompanhamento.
Soluções para procedimentos intervencionistas da Doença Arterial Periférica (DAP) oferecidos pela terapia guiada por imagem da Philips.
Saiba maisPlataforma de aplicações intervencionistas e soluções para procedimentos venosos oferecidos pela terapia guiada por imagem da Philips. Sistemas de diagnóstico por imagem por IVUS digital fáceis de usar.
Saiba mais Isenção de responsabilidade A disponibilidade do produto está sujeita à liberação regulatória do país. Entre em contato com seu representante de vendas local para verificar a disponibilidade no seu país. Referências 1 Os resultados de estudos de caso não são preditivos de resultados em outros casos. Os resultados em outros casos podem variar. 2 Tacher V. et al. Image guidance for endovascular repair of complex aortic aneurysms: comparison of two-dimensional and three-dimensional angiography and image fusion. J Vasc Interv Radiol. Nov 2013; 24(11):1698-706. doi: 10.1016/j.jvir.2013.07.016. 3 Sailer A. M. et al. CTA with fluoroscopy image fusion guidance in endovascular complex aortic aneurysm repair. Eur J Vasc Endovasc Surg. Abr 2014; 47(4):349-56. doi: 10.1016/j.ejvs.2013. 4 Os resultados são específicos para a instituição em que foram obtidos e podem não refletir resultados alcançáveis em outras instituições. * Os resultados são específicos para a instituição onde foram obtidos. Os resultados em outras instituições podem variar.
You are about to visit a Philips global content page
Continue