
Um dos principais especialistas em cirurgia vascular minimamente invasiva na Espanha é o Dr. Ramon Vila, chefe do Departamento de Angiologia e Cirurgia Vascular do Hospital Universitário de Bellvitge em Barcelona. Esse hospital realiza 1.000 cirurgias vasculares por ano.
Com o arco cirúrgico portátil Zenition da Philips, o Dr. Vila está obtendo imagens de qualidade excepcional que lhe permitem realizar a maioria dos procedimentos vasculares com uma configuração de baixa dose.
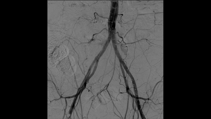
Com o Zenition, nossa qualidade de imagem de ASD melhorou muito. Não vemos mais uma imagem granulada, somente uma imagem muito clara."
Dr. R. Vila, MD
Hospital Universitário de Bellvitge, Barcelona, Espanha
Projetado para facilidade de uso em ambientes de sala cirúrgica em rápido movimento, o Zenition se apoia no fluxo de trabalho Unify da Philips para estabelecer um senso imediato de familiaridade e confiança durante qualquer intervenção e procedimento cirúrgicos.

A angiografia por subtração digital (ASD) é usada em procedimentos vasculares intervencionistas para visualizar os vasos sanguíneos com clareza, removendo estruturas que podem obscurecer a visibilidade dos vasos. A fluoroscopia do roteiro sobrepõe uma imagem com contraste subtraída adquirida anteriormente à fluoroscopia ao vivo, permitindo que você monitore um dispositivo sem reinjetar contraste.

Como um acréscimo à plataforma Zenition 70, o módulo de tela sensível ao toque2 (TSM) facilita o controle dos cirurgiões ao lado da mesa durante os procedimentos. Por meio da tela sensível ao toque você pode selecionar, arrastar e ampliar itens com facilidade. Isso significa que você pode visualizar imagens instantaneamente, o que permite maior controle de imagem durante os procedimentos.

Use a ferramenta Contorno para marcar com facilidade uma bifurcação ou ramos laterais, simplesmente desenhando no monitor da Estação de Visualização Portátil com o dedo ou um mouse conectado externamente.

Aumente a visibilidade de vasculaturas tortuosas com as opções de meios de contraste de Iodo e CO 2. Controle facilmente as injeções ao lado da mesa. Para pacientes com insuficiência renal você pode usar a opção de CO2 para visualizar pequenos vasos com facilidade sem usar contraste de iodo.
É mais fácil ver um fio guia se comparado ao nosso antigo sistema. Agora você pode ver a ponta e o ângulo do fio que está circulando, até mesmo com fios de 0,36 mm.
Isso ocorre devido à compensação do Zenition para o que é metálico e o que está se movendo."
Dr. R. Vila, MD
Hospital Universitário de Bellvitge, Barcelona, Espanha
Execute atendimentos ortopédicos com facilidade e confiança usando os sistemas de diagnóstico por imagem com arco cirúrgico portátil Zenition da Philips, que oferece facilidade de uso comprovada e recursos adaptáveis ao futuro.
Saiba maisRealize atendimentos de manejo da dor com facilidade e confiança usando os sistemas de diagnóstico por imagem com arco cirúrgico portátil Zenition da Philips, que oferece facilidade de uso comprovada e recursos adaptáveis ao futuro.
Saiba maisRealize procedimentos de gastroenterologia e urologia com maior facilidade e confiança nos sistemas de diagnóstico por imagem com arco cirúrgico portátil Zenition da Philips.
Saiba mais 1 Resultados obtidos durante testes com usuários realizados em novembro de 2013 pela Use-Lab GmbH, uma empresa independente. Os testes envolveram 30 especialistas nos Estados Unidos (15 médicos acompanhados por 15 enfermeiros ou técnicos de raios-X) que realizaram procedimentos usando sistemas de raios-X móveis Philips em ambiente simulado de sala de cirurgia. Nenhum deles havia trabalhado junto antes. Em certos cenários, o tempo de inicialização pode exceder 80 segundos. 2 O TSM está disponível como opção apenas no Zenition 70
You are about to visit a Philips global content page
Continue