
Atualmente, a comunidade de atendimento médico está examinando de perto as estratégias para reduzir a exposição à radiação de pacientes e da equipe médica durante procedimentos intervencionistas. Nossas soluções de cirurgia portáteis Zenition foram elaboradas com base no DoseWise do Zenition da Philips — uma combinação única de técnicas, programas e práticas para abordar a eficiência da dose que fornece uma qualidade de imagem clinicamente relevante durante procedimentos ortopédicos, de traumas e outras aplicações intervencionistas e, ao mesmo tempo, gerenciam com eficiência a exposição à radiação de pacientes e da equipe médica.
de redução na dose de raios X mediante a seleção de protocolos de aquisição clinicamente otimizados em uma ampla gama de combinações de proporções dose-fotograma.4
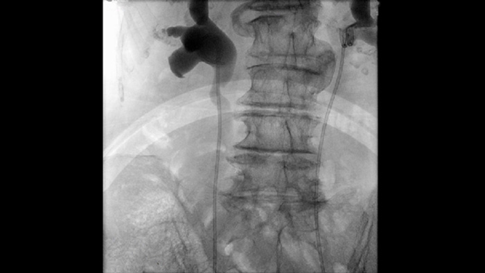
de redução do Produto Dose-Área (DAP) com o Posicionamento Automático do Obturador protege a anatomia do paciente e o pessoal da sala contra exposição desnecessária.4
na dose sobre a pele do paciente por meio da filtragem adicional do feixe com cobre e alumínio, que aumenta a qualidade do feixe de raios X.4
Projetado para facilidade de uso em ambientes de sala cirúrgica em rápido movimento, o Zenition se apoia no fluxo de trabalho Unify da Philips para estabelecer um senso imediato de familiaridade e confiança durante qualquer intervenção e procedimento cirúrgicos.

A Fluoroscopia Pulsada aprimora o diagnóstico por imagem de anatomias densas e complexas para apoiá-lo no gerenciamento de doses. Você pode selecionar uma faixa de frequências de pulsos de fluoroscopia para reduzir a dose quando desejar ou aprimorar a qualidade da imagem conforme necessário.

Parâmetros predefinidos do diagnóstico por imagem para diferentes procedimentos e anatomias, podendo ser personalizados conforme a aplicação, elevam a confiança clínica e a eficiência para os diversos procedimentos e pacientes diários.

Compare convenientemente as imagens de TC de tela cheia, IRM, raio X e outras às imagens DICOM ao vivo na Estação de Visualização Portátil para obter uma visão abrangente da patologia.

Conecte facilmente todos os seus arcos cirúrgicos portáteis Zenition com outros sistemas de sala cirúrgica e sua infraestrutura hospitalar graças às ferramentas avançadas de conectividade e interoperabilidade, incluindo a transferência sem fio de dados em alta velocidade. A conexão de dados do paciente entre departamentos enriquece a compreensão clínica e aumenta a eficiência operacional.

Obturadores assimétricos únicos aumentam a flexibilidade e a precisão da colimação ao permitir que você movimente os obturadores de forma independente e isolados uns dos outros. Você pode ajustar os obturadores e a orientação da imagem enquanto estiver na última retenção de imagem sem usar radiação.

Módulo de tela sensível ao toque O módulo de tela sensível ao toque5 (TSM) foi projetado para agregar valor ao aumentar os recursos clínicos do Zenition 70. Como um acréscimo à plataforma Zenition 70, o TSM facilita o controle total dos cirurgiões ao lado da mesa durante os procedimentos.
Execute atendimentos ortopédicos com facilidade e confiança usando os sistemas de diagnóstico por imagem com arco cirúrgico portátil Zenition da Philips, que oferece facilidade de uso comprovada e recursos adaptáveis ao futuro.
Saiba maisExperimente maior facilidade e confiança durante intervenções e cirurgias vasculares com os sistemas de diagnóstico por imagem com arco cirúrgico portátil Zenition da Philips.
Saiba maisRealize atendimentos de manejo da dor com facilidade e confiança usando os sistemas de diagnóstico por imagem com arco cirúrgico portátil Zenition da Philips, que oferece facilidade de uso comprovada e recursos adaptáveis ao futuro.
Saiba mais
1 Resultados obtidos durante testes com usuários realizados em novembro de 2013 pela Use-Lab GmbH, uma empresa independente. Os testes envolveram 30 especialistas nos Estados Unidos (15 médicos acompanhados por 15 enfermeiros ou técnicos de raios-X) que realizaram procedimentos usando sistemas de raios-X móveis Philips em ambiente simulado de sala de cirurgia. Nenhum deles havia trabalhado junto antes. Em certos cenários, o tempo de inicialização pode exceder 80 segundos. 2 Estão disponíveis Contratos de Serviços RightFit qualificáveis com o Maximizador de Tecnologia. 3 As reduções da dose de raios X referem-se a características específicas e irão variar dependendo dos parâmetros de dose selecionados. 4 Dados em arquivo. Rosink H. Dose management Zenition 50/70. DHF335436. Artigo técnico interno. Philips Healthcare. Janeiro de 2019. 5 O TSM está disponível como item opcional apenas no Zenition 70.
You are about to visit a Philips global content page
Continue