Numa sociedade em que os reembolsos estão diminuindo e as doenças crônicas acarretam um maior número de procedimentos de RM e tempos de espera mais longos, o departamento de radiologia está sujeito a uma pressão crescente. A aceleração compromete a qualidade da imagem ou não é aplicável a todo o espectro de varreduras de rotina. Por conseguinte, continua sendo necessário um avanço tecnológico envolvendo a aceleração para satisfazer as crescentes exigências de produtividade. Tirando partido da nossa longa liderança em termos de rapidez (por exemplo, o SENSE), a Philips apresenta o Compressed SENSE, um grande avanço em termos de produtividade.
• Técnica de aceleração inovadora que acelera não somente as sequências, mas o exame inteiro. • Implementação única, permitindo varreduras em 2D e 3D até 50% mais rápidas, com praticamente a mesma qualidade de imagem.1
• Pode ser utilizado em todos os contrastes anatômicos e todas as anatomias.
Nosso objetivo é reduzir o tempo de varredura, mas queremos a mesma qualidade de imagem que tínhamos antes"
Sabine Sartoretti, MD, chefe de neurorradiologia do Instituto de Radiologia e Medicina Nuclear do Kantonsspital Winterthur, Suíça
O Compressed SENSE aumenta a eficiência do exame graças a um tempo de varredura mais curto, sem qualquer alteração na qualidade da imagem"
Sachi Fukushima, RT, Hospital Central Kurashiki, Japão

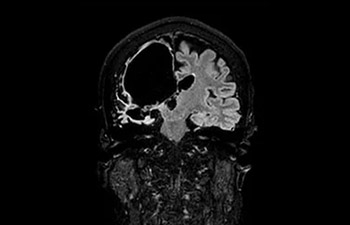
com Compressed SENSE

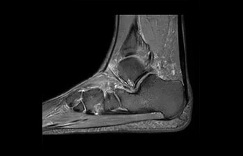
com Compressed SENSE

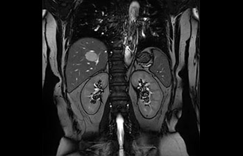
com Compressed SENSE

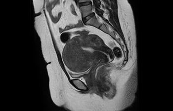
com Compressed SENSE

com Compressed SENSE

com Compressed SENSE

com Compressed SENSE

com Compressed SENSE
Precisa de mais informações sobre o Compressed SENSE. Entraremos em contato o mais rápido possível.

Diretor do departamento de radiologia A. Z. Hospital Sint-Jan, Bruges, Bélgica, "consultor de radiologia" de cabeça e pescoço, A.Z. Hospital Sint Augustinus, Antuérpia, Bélgica

Saiba mais sobre os princípios fundamentais do Compressed SENSE e a forma como este apresenta uma mudança no paradigma de produtividade, como o Compressed SENSE foi projetado em função da qualidade da imagem e como faz avançar a produtividade no diagnóstico por imagem clínico por RM.

Leia sobre as experiências do Kantonsspital Winterthur (Suíça), que experimentou o Compressed SENSE como uma forma simples, mas poderosa de acelerar as varreduras de IRM para diferentes tipos de contrastes e sequências tanto em 2D quanto em 3D.

O Compressed SENSE pode acelerar a maioria das sequências de IRM sem sacrificar a qualidade da imagem, o que permitiu à Clínica Neurocirúrgica KOYASU (KNC) reduzir a duração de seus exames de IRM. Como resultado, a KNC aumentou a produtividade do seu equipamento de IRM com uma média de três pacientes a mais por dia.

A equipe de IRM do Hospital Central Kurashiki incorporou o Compressed SENSE à maioria dos protocolos de exames do cérebro, coluna, abdômen e coração do seu Ingenia 1.5T, o que resultou em varreduras de IRM mais rápidas e de alta qualidade, um resultado apreciado por pacientes e pela equipe.



A nova solução Ingenia Elition da Philips oferece técnicas de diagnóstico por imagem por RM de última geração e, ao mesmo tempo, define um novo caminho para a investigação clínica em termos de diagnósticos por imagem 3.0T, com base em novas concepções de gradientes e RF.
1 Comparado às varreduras da Philips sem o Compressed SENSE, feitas no Ingenia 1.5T
2 Usando a tecnologia Compressed SENSE e comparado aos exames da Philips sem o Compressed SENSE
You are about to visit a Philips global content page
Continue