
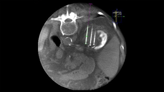
A heterogeneidade da lesão e a falta de conspicuidade limitam a qualidade das amostras, além da viabilidade das biópsias quando realizadas durante o ultrassom ou a tomografia convencional. Com a crescente adoção de programas de exames preventivos do pulmão, os cânceres de pulmão iniciais que se manifestam como pequenos nódulos têm sido detectados com maior frequência do que nunca. Nódulos ≤ 10 mm foram observados em 14,5% de uma
população examinada.1-2 Nossa tecnologia de navegação de agulha com CBCT aumenta a precisão e permite enfocar lesões menores (< = 1 cm) ou heterogêneas com maior exatidão e menos reposicionamento da agulha, com uma dose menor que a de uma tomografia convencional.1-2
em comparação com a TC convencional1
menos reposicionamento de agulha em comparação com a TC convencional1
mais baixa na pele em comparação com a TC convencional1


A ablação percutânea (radiofrequência, micro-ondas e crioablação) é um tratamento minimamente invasivo bem estabelecido contra tumores renais, hepáticos, pulmonares e ósseos. É fundamental definir os limites do tumor e decidir qual o número ideal de agulhas e a correspondente trajetória das agulhas para poder realizar um tratamento completo do tumor e não causar danos ao tecido circundante.
Navegar com precisão até a lesão em questão com baixa dose e sem reposicionamento da agulha aumenta a chance de sucesso e reduz o risco de complicações de suas biópsias ou ablações. A confirmação do desfecho do tratamento de ablação pode ser realizada com diagnósticos por imagem 3D enquanto o paciente ainda está na mesa.

O SmartCT para Tecidos Moles oferece uma técnica de aquisição por Tomografia Computadorizada de Feixe Cônico (CBCT) ampliada com orientações passo a passo e ferramentas avançadas de visualização e medição 3D, tudo isso acessível no módulo de tela sensível ao toque ao lado da mesa.

O recurso Dual View permite a sobreposição de uma imagem 3D pré-procedimento (TC/RM/PET-TC) a uma CBCT Dupla 3D intraprocedimento para uma melhor visualização das lesões e acesso a dados cruciais para o planejamento da agulha.

O XperGuide fornece uma orientação por imagem ao vivo altamente precisa de cada agulha para um posicionamento direcionado sobrepondo trajetórias pré-planejadas ao diagnóstico por imagem fluoroscópico.3

Com a CBCT, você pode adquirir uma CBCT pós-ablação para demonstrar a extensão da cobertura do tumor e confirmar a completude do seu tratamento.
Soluções eficazes para orientações no tratamento e tomada de decisão na embolização de tumores oferecidas pela terapia guiada por imagem da Philips. Explore os diversos procedimentos da oncologia intervencionista.
Saiba mais Isenção de responsabilidade A disponibilidade do produto está sujeita à liberação regulatória do país. Entre em contato com seu representante de vendas local para verificar a disponibilidade no seu país. Referências * A Ablação com XperGuide é um recurso opcional do XperGuide 1 Abi-jaoudeh et al. Cone Beam vs Conventional CT Navigation for Image-Guided Biopsy, J VascIntervRadio; 2016; 27:1342-1349. 2 Floridi C. et al. Percutaneous needle biopsy of mediastinal masses under C-arm conebeam CT guidance: diagnostic performance and safety. Medical Oncology. 2017; 34(4):1-7 3 Ji Yung Choo. Percutaneous transthoracic needle biopsy of small (1 cm) lung nodules under C-arm cone-beam CT virtual navigation guidance. Eur Radiol (2013) 23:712–719.
You are about to visit a Philips global content page
Continue