
Os ultrassom para ultrassoms hepáticas da Philips fornecem as ferramentas necessárias para a avaliação e gestão de doenças hepáticas. A elastografia por ondas transversais, em conjunto com a nossa excelente qualidade de imagem, proporcionam métodos não invasivos e eficazes em termos de custos para adquirir dados adicionais para a avaliação de doenças hepáticas.
É sabido que as doenças hepáticas são uma preocupação crescente dos cuidados de saúde globais. De acordo com o Centro de controlo e prevenção de doenças, as doenças hepáticas são a 12.ª causa de morte nos EUA. Na verdade, muitas pessoas têm hepatite C e podem até nem o saber. Há décadas que as biópsias hepáticas constituem o método convencional para a avaliação de doenças, mas a dor, os gastos e o tempo de espera associados aos resultados provaram ser barreiras para alguns pacientes. Graças às inovações da Philips no ultrassom EPIQ, agora existe uma solução completa abrangente para ajudar os médicos a avaliar, tratar e monitorizar diversas doenças do fígado.
Preencha o formulário e entraremos em contacto consigo.

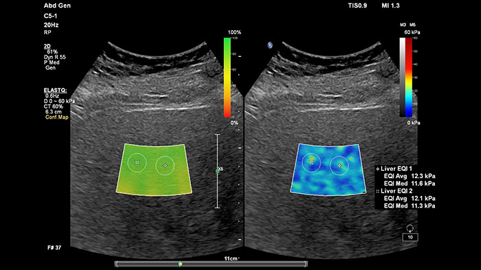
A elastografia por ondas transversais ecográficas proporciona um método não invasivo, reprodutível e de fácil aplicação para a avaliação da rigidez dos tecidos. Investigações sugerem que, em vez de um procedimento de biópsia dispendioso e doloroso, uma simples ultrassom com elastografia por ondas transversais pode tornar-se rotina na avaliação do estado de doenças hepáticas. A elastografia por ondas transversais de alto desempenho do ElastQ Imaging inclui a avaliação quantitativa codificada por cores através de regiões de interesse (ROI) em tempo real e de grandes dimensões da rigidez do tecido. O ElastQ Imaging também inclui a capacidade de efetuar medições retrospetivas nas imagens armazenadas e uma apresentação de mapa de confiança única utiliza a análise inteligente para acrescentar uma garantia adicional de que as medições do utilizador são obtidas em áreas de tecido com propagação adequada de ondas transversais.
A tecnologia de cristais PureWave representa a maior inovação em material de transdutores piezoelétricos dos últimos 40 anos. Os cristais puros e uniformes do PureWave são 85% mais eficientes do que o material piezoelétrico convencional, o que resulta num desempenho excecional. Esta tecnologia é parte integrante dos nossos transdutores C5-1, C9-2 e X6-1, permitindo uma penetração melhorada em pacientes difíceis enquanto mantém uma excelente resolução de detalhes, sensibilidade Doppler e desempenho de CEUS.
Os agentes de contraste de ultrassom conseguem transformar a função do ultrassom no fígado, permitindo ao utilizador estudar os padrões de melhoria de lesões hepáticas suspeitas em tempo real, proporcionando acesso a diagnósticos com maior rapidez e confiança. Com o EPIQ da Philips, a CEUS está perfeitamente integrada no fluxo de trabalho padrão, fornecendo detalhes excecionais ao longo dos exames de fase arterial, portal e tardia. Além disso, com tecnologias avançadas na ponta dos seus dedos, como o ecrã MaxVue FHD, o transdutor PureWave C9-2, a imagiologia de fusão e a quantificação de Q-App, o EPIQ fornece a máxima confiança na deteção e caraterização de lesões, mesmo nos exames mais difíceis.
A fusão de imagens combina as vantagens inerentes da imagiologia multimodalidade diretamente no ultrassom utilizando a monitorização eletromagnética. Ao combinar TAC/RM/PET com a ultrassom e a posição do paciente em tempo real, o médico tem acesso a uma poderosa ferramenta de diagnóstico, ao mesmo tempo que limita a radiação, já que são necessários menos exames de compatibilidade, maximizando o fluxo de atendimento a pacientes do departamento. A ultrassomanatomicamente inteligente (AIUS) exclusiva do EPIQ inclui a fusão de imagens com um registo automático dos volumes de TAC/RM e de ultrassom, num décimo do tempo de alinhamento padrão. A navegação da agulha é uma ferramenta de melhoria do desempenho para casos de intervenções difíceis no fígado e está comprovado que melhora o fluxo de trabalho e reduz a exposição à radiação ao utilizar menos exames de confirmação. O EPIQ da Philips possui um conjunto completo de soluções que inclui o CIVCO eTrax™, o guia de agulha adaptativo da Philips e os guias de agulha coaxiais da Philips. Graças à ampla compatibilidade com dispositivos de biópsia e ablação, o médico tem liberdade pode escolher as melhores ferramentas para o procedimento, consoante o nível de complexidade.

A medição da rigidez do fígado é efetuada em segundos através de um simples exame não invasivo.

Os agentes de contraste de ultrassom conseguem transformar a função do ultrassom, permitindo aos médicos estudar os padrões de melhoria de lesões hepáticas em tempo real, proporcionando diagnósticos mais rápidos e definitivos. Com o ultrassom da Philips, a ultrassom com realce por contraste está perfeitamente integrada no fluxo de trabalho padrão, fornecendo detalhes excecionais.

Tome decisões com confiança, mesmo em casos de diagnósticos difíceis, com as capacidades de fusão de imagens e navegação da agulha da Philips. O fluxo de trabalho simplificado permite aos médicos conseguirem uma fusão rápida e eficaz de TAC/RM/PET com ultrassom em tempo real, enquanto a navegação da agulha ajuda durante biópsias de lesões pequenas e de difícil acesso.




You are about to visit a Philips global content page
Continue