Mesa de paciente de alto desempenho
Apresenta um alcance de digitalização de 2.100 mm, acomoda até 306 kg (675 lbs) e oferece uma altura de mesa baixa para fácil acesso.
Com os avanços na área das imagens cardíacas e dos exames sem qualquer comprometimento, o Spectral CT 7500 permite obter imagens certas à primeira.
Com os avanços na área das imagens cardíacas e dos exames sem necessidade de qualquer trade-off, o Spectral CT 7500 permite obter as imagens ideais e necessárias com um único exame.

Fluxo de trabalho simples, com resultados espectrais
O modo espectral está sempre ativo para que cada exame seja entregue com resultados convencionais e espectrais.

Mais tipos de pacientes
Aumente as capacidades cardíacas e as capacidades na sala de urgências/traumatologia e abra novas possibilidades nos procedimentos de intervenção e radioncologia.

Diagnóstico rápido
Os exames de rotina com TC espectral baseada em detectores demonstraram uma diminuição de 34% no tempo de diagnóstico.*
Faça um tour... basta clicar nos círculos azuis para descobrir algumas das coisas que diferenciam o Spectral CT 7500.
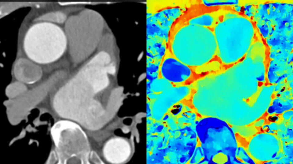
Aumente e desenvolva sua capacidade em exames cardíacos com imagens espectrais e um campo de visão completo. Reduza artefatos de blooming de cálcio nas artérias coronárias.
Aumente e desenvolva sua capacidade em exames cardíacos com imagens espectrais e um campo de visão completo. Reduza artefatos de blooming de cálcio nas artérias coronárias.
Agora, você pode facilmente ter tanto o “onde as coisas estão” da TC convencional combinado com o “como elas estão” revelado pelos dados do detector espectral. Camadas de dados espectrais ricos melhoram a caracterização e visualização dos tecidos e podem reduzir a necessidade de exames de acompanhamento para exames abaixo do ideal e achados incidentais.

Imagem de TC convencional (esquerda) Imagem de TC com detetor espectral (direita)
Contate um especialista para descobrir se a TC com detector espectral é adequada para você.

Brochura do produto Spectral CT 7500

Descubra todas as soluções de TC
*Impacto económico do IQon em pacientes com insuficiência renal. Documento técnico. Philips.
You are about to visit a Philips global content page
Continue