Tecnologia dStream, arquitetura de banda larga digital, digitaliza o sinal diretamente na bobina.
Nossa arquitetura de banda larga digital dStream possibilita imagens de alta qualidade e uma velocidade excepcional. Aproveite uma SNR* até 40% maior e produtividade aprimorada, com uma tecnologia RF independente de canal que facilita as atualizações. A dStream digitaliza o sinal diretamente na bobina, eliminando as influências de ruído típicas das vias analógicas para capturar o sinal de RM sem distorção prévia ou compressão. Uma conexão de fibra ótica entre a bobina e o reconstrutor de imagens permite uma transmissão em banda larga sem perda de dados.
A tecnologia dStream tem feito toda a diferença do mundo."
Chip Truwit, MD, Chefe do Setor de Radiologia do Centro Médico de Hennepin County, Minnesota, EUA

A arquitetura dStream usa um método DirectDigital de amostragem do sinal de RF na digitalização: a amostragem do sinal de imagem de ressonância magnética (IRM) é feita diretamente, sem conversão para DC. Essa técnica evita todos os estágios analógicos intermediários da conversão do sinal entre o elemento da bobina e o conversor analógico-digital (ADC).

O resultado, de modo geral, é uma arquitetura receptora simplificada, com poucos componentes, baixo consumo de energia, alta SNR, alcance dinâmico, sinal ampliado e estabilidade de fase.

A digitalização ocorre na própria bobina, já que os componentes eletrônicos do ADC foram miniaturizados e colocados dentro da bobina.
Um único cabo de fibra ótica para qualquer número de canais de RF substitui diversos cabos coaxiais e retém a qualidade da imagem. O número de canais de RF deixou de ser uma especificação do sistema.

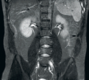
Resultado: SNR e resolução de imagem aprimoradas

Resultado: imagens com ruído usando parâmetros idênticos de varredura

Maior consistência e qualidade de imagem aprimorada A tecnologia RF dStream receptora digitaliza o sinal de RM diretamente na bobina de RF, resultando em um aumento da SNR de até 40% ao longo de todo o volume de imagem. Fluxo de trabalho simplificado e produtividade aprimorada A bobina posterior integrada ao tampo da mesa elimina o manejo da bobina em 60% dos exames. A leveza da conformação das bobinas anteriores e as conexões da bobina em um cabo único que pode ser manejado com uma só mão aumentam a facilidade operacional.

Menor complexidade de atualização com a independência dos canais Não é necessário atualizar os canais receptores de RF do sistema para se manter atualizado com os avanços tecnológicos da bobina. Arquitetura à prova de futuro A expansão dos recursos clínicos pode ser alcançada sem grandes remanejamentos do sistema, resultando em custos de ciclo de vida mais baixos e valor agregado.

Embora seja parte integrante dos novos sistemas de Ressonância Magnética Ingenia, a tecnologia dStream também pode beneficiar os proprietários de sistemas já instalados. O sistema SmartPath para implantação da dStream oferece uma via econômica para a obtenção da RM de banda larga digital e está disponível para os seguintes equipamentos: • Intera 1.5T • Achieva 3.0T/3.0T TX • Achieva 1.5T/XR
Uma explicação visual da arquitetura dStream.
* SNR até 40% maior que a do Achieva, um sistema não digital/dStream
O Centro Médico de Hennepin County (HCMC) opera um setor de imagem de ressonância magnética de última geração que utiliza um scanner de IRM Ingenia 1.5T da Philips com tecnologia dStream.*
You are about to visit a Philips global content page
Continue